


胃鏡或大腸鏡檢查會痛嗎? 會,所以本院有無痛檢查,免除檢查時的焦慮跟緊張。看看我們的患者的回饋


一般而言,無痛大腸鏡約莫在15-20分鐘,如果大腸特別長,甚至息肉特別多,有可能甚至需要一個小時;無痛胃鏡一般落在10分鐘左右,如果胃鏡大腸鏡同時一起做,大概需要40分鐘。
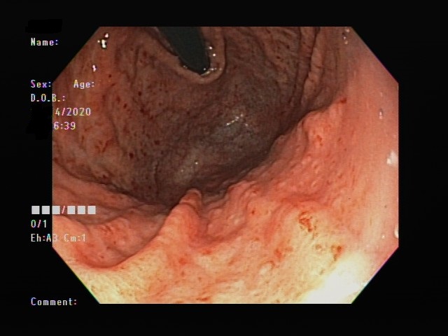
可以,有些胃潰瘍、幽門桿菌感染是沒有症狀的。像下面圖片的患者,就完全沒有腹部不適,卻明顯有胃發炎合併幽門桿菌感染。

本院採用無痛麻醉,過程約 30 ~ 40 分鐘,保證一覺醒來,腸胃鏡全部完成,過程完全無感。

要,胃鏡大腸鏡需要清腸及飲食衛教,並且需要安排時間,有家屬朋友陪同,不可自行騎車或開車,目前最新的一日大腸鏡,可於一日之內完成大腸鏡胃鏡療程,對於有需求的民眾更方便。
大腸鏡最主要的目的,就是早期處理息肉,預防大腸癌發生。針對比較大的息肉,本院備有黏膜止血夾及粘膜下注射針,可以進行粘膜下剝離,完整切除息肉,所有息肉均由病理專科醫師化驗,回診時會將完整病理報告交付給您。
可以,針對潰瘍病灶,本院一律進行切片檢查,檢體將由病理專科醫師為您判讀。本院備有幽門螺旋桿菌快速反應試紙,一小時即可知道報告,為您規劃完整殺菌療程。
目前文獻統計,無痛並不會提高腸穿孔的風險,相反的可以讓整個過程更順利,降低焦慮跟緊張。本院採最新單人內視鏡操作技巧,跟傳統的雙人操作相比,腸壁力道的回饋手感,可以即時拿捏,不會過度用力。
沒有哪一種比較好,由醫師臨床判斷,交替進行,視情況罐水或打氣最好。本院額外添購打水幫浦,可以同時灌水跟打氣。
大腸鏡開始喝清腸藥後,還是可以無渣飲食,不需要完全空腹,對於高血壓的患者,血壓藥不須中斷,可以照常服用,但是糖尿病的藥物要先暫停。如果清腸的過程中出現頭暈、想吐、冒冷汗等低血糖的症狀,可以補充一些含糖飲料或糖果,等檢查結束就可以恢復正常飲食。
可選購一日低渣代餐包,日本原裝進口,幫你準備好檢查前一天所需的三餐,不再為了該吃什麼而煩惱。
本院使用新型的清腸藥,翡翠檸檬口味,喝過其他清腸藥喝到吐的患者,對於本院清腸藥,反應大都相當良好。
可以,本院使用PACS數位影像擷取系統,與醫學中心同等級,高品質完整保存您的影像資料,術後由醫師親自解說治療過程。
大腸癌從來不是年紀大患者的專利(點擊查看),年輕也不是絕對的健康保證,大腸癌以經蟬聯 12 年十大癌症發生率第一,台灣是全世界大腸癌發生率最高的國家,如果擔心、有症狀,就篩檢。
老話一句,健康比害羞更重要。大腸癌是少數可以預防的癌症,在這個醫療進步的年代,罹患大腸癌,我認為相當可惜。




